علوم وتكنولوجيا
علماء روس يكتشفون سلالة بكتيرية جديدة في المياه الجوفية بسيبيريا
المواطن اليوم /
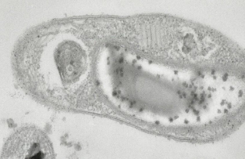
عثر علماء من تومسك الروسية على جنس بكتيري غير معروف سابقا في آبار جوفية بغرب سيبيريا.
كما تمكنوا من الحصول على بكتيريا “المسافر الجريء” (Audaxviator) التي حاول علماء من جميع أنحاء العالم “الإمساك” بها لمدة 10 سنوات. أفادت بذلك وكالة “تاس” الروسية، نقلا عن وزارة العلوم والتعليم العالي الروسية.
وجاء في بيان صادر عن الوزارة: “يمثل اكتشاف علماء جامعة “تومسك” الحكومية الروسية جنسا وفصيلة جديدتين من البكتيريا، وهما من “أقارب” بكتيريا Desulforudis audaxviator تم اكتشافها في آبار جوفية بغرب سيبيريا، وبالتحديد في المياه الارتوازية في منطقة بيلوي يار بمقاطعة تومسك، وفي طبقات الفحم في منطقة استخراج الميثان بمقاطعة كيميروفو، وفي البحيرات العميقة في مقاطعة تيومين.
ومن الناحية الجينية، فإن تلك البكتيريا قريبة من بكتيريا “المسافر الجريء” المكتشفة سابقا، لكن ليس بما يكفي لتصنيفها ضمن نفس النوع أو الجنس أو حتى الفصيلة”.
وأطلق على الجنس الجديد للبكتيريا Desulfosceptrum tomskiensis، كما أطلق على الفصيلة البكتيرية الجديدة Desulfosceptrumaceae. ويشير الجزء الأول من الاسم إلى نوع الخلايا البكتيرية التي تشكل الأبواغ، والتي تذكرنا بالصولجان (sceptrum)، أما الجزء الثاني من الاسم – tomskiensis – فيشير إلى منطقة تومسك.
“المسافر الجريء”
وإلى جانب اكتشاف النوع الجديد، تمكن علماء الأحياء الدقيقة في تومسك الروسية من الحصول على بكتيريا “المسافر الجريء” المعروفة بقدرتها على البقاء في ظروف مشابهة لتلك الموجودة على كوكب المريخ.
ومن المعروف أن العلماء الأمريكيين قد كانوا قد أطلقوا هذا الاسم سابقا على كائن دقيق عندما عثروا على حمضه النووي على عمق كبير في مياه منجم للذهب في جنوب أفريقيا، لكنهم لم يتمكنوا آنذاك من “الإمساك” به. وحاول علماء من جميع أنحاء العالم لمدة عشر سنوات الحصول على هذه البكتيريا، لكن علماء جامعة “تومسك” الحكومية استطاعوا استخراجها من المياه الجوفية في ينبوع حراري في منطقة فيرخنيكيتسكي بمقاطعة تومسك. وتبيَن أن جينومها مطابق تماما لجينوم البكتيريا الموجودة في جنوب إفريقيا.
وقالت أولغا كارناتشوك رئيسة قسم فسيولوجيا النبات والتقنيات الحيوية والمعلوماتية الحيوية في معهد الأحياء بجامعة “تومسك” الحكومية: “إن جينوم “المسافر الجريء” لم يتغير منذ زمن بانجيا، بصفتها القارة العملاقة التي كانت موجودة منذ حوالي 335-175 مليون سنة على الأرض، الأمر الذي يتناقض مع مفاهيمنا حول نظرية داروين للتطور، التي تفترض تراكم التغيرات في الكائنات الحية، ما يسمح لها بالتكيف بشكل أفضل مع الظروف البيئية”.
ويُعتقد أن “المسافر الجريء” عاش أولا ليس تحت الأرض بل على سطحها. وتشير إلى ذلك فجوات غازية، وهي فقاعات هواء، تساعد البكتيريا على السباحة. وعلى الأرجح دخلت بكتيريا “المسافر الجريء” إلى أعماق الأرض مع مياه الأمطار، ووجدت هناك ظروفا أفضل لها مما هو عليه على السطح. وربما كانت تنتقل عبر الهواء في وقت ما وانتشرت في جميع أنحاء الكوكب بفضل هذه الفجوات.
علوم وتكنولوجيا
خبير يوضح التغيرات في المجال المغناطيسي للأرض
المواطن اليوم /
يشير ناثان إيسمونت، كبير الباحثين في معهد بحوث الفضاء التابع لأكاديمية العلوم الروسية إلى وجود توقعات بحدوث انعكاس خلال ألف عام، حيث سيتبادل القطبان الشمالي والجنوبي مواقعهما.
ووفقا له، لا علاقة لهذه العملية بفرضيات التراجع التدريجي في شدة المجال المغناطيسي للأرض. لأنه بموجب البيانات المتاحة، انخفضت قوته بنسبة 15 بالمئة خلال القرنين الماضيين. وقد تكهنت بعض المجموعات العلمية بإمكانية اختفاء المجال تماما. وتحدث مثل هذه الأحداث، وفقا لبيانات المغناطيسية القديمة، بشكل دوري، مرة كل 40 ألف عام تقريبا، وقد يشير الوضع الحالي إلى اقتراب دورة مماثلة.
ويشير العالم، إلى أن 40 ألف عام هو رقم يثير الشكوك. لأن المجال المغناطيسي، كما نلاحظ، موجود منذ زمن طويل جدا – ليس 40 ألف عام، بل ملايين السنين. ولكن هناك فترات تغير فيها المجال بسرعة. وحاليا، بناء على القياسات، يبدو أن المجال قد بدأ يتغير بسرعة كبيرة. بل هناك تنبؤات بأنه في غضون ألف عام، سيحدث انعكاس – أي أن القطب الشمالي سيتبادل موقعه مع القطب الجنوبي. وبالطبع من الصعب جدا التكهن بما سيؤول إليه هذا الأمر. أما بالنسبة للمجال المغناطيسي، فهنا أيضا، توجد مخاوف لا أساس لها من الصحة.
عن / شبكة ار تي العربيه RT
علوم وتكنولوجيا
الأرض “تومض” ليلا!.. كوكبنا ازداد سطوعا بنسبة 16% في غضون 8 سنوات
الأرض “تومض” ليلا!.. كوكبنا ازداد سطوعا بنسبة 16% في غضون 8 سنوات كشفت دراسة علمية جديدة، اعتمدت على صور الأقمار الصناعية، أن الأضواء الاصطناعية الليلية زادت من سطوع كوكب الأرض بنسبة 16% بين عامي 2014 و2022.
المواطن اليوم /
لكن هذه الزيادة لم تكن موحدة في جميع أنحاء العالم، فهناك مناطق تسير في الاتجاه المعاكس، إما بسبب الحروب والكوارث الطبيعية، أو بسبب سياسات ناجحة لمكافحة التلوث الضوئي وترشيد استهلاك الطاقة
ومنذ قرون، كانت الأرض تبدو من الفضاء ككرة مظلمة تماما. أما اليوم، فالأضواء المنتشرة تكشف تقدم الحضارة وامتداد شبكات الكهرباء. لكن هذا الضوء المستمر تحول إلى مشكلة بيئية وصحية، حيث يؤثر على جودة نوم البشر، ويعطل الإيقاعات الحيوية للنباتات والحيوانات، بل ويحجب رؤيتنا للكون والنجوم.
ويقول تشو تشو، أستاذ الاستشعار عن بعد بجامعة كونيتيكت والمؤلف الرئيسي للدراسة، إن الأرض لا تزداد سطوعا بشكل تدريجي وثابت، بل إنها “تومض”. فبينما تشهد الدول النامية مثل الهند والصين وأجزاء من إفريقيا زيادة ملحوظة في الإضاءة نتيجة التوسع العمراني وكهربة المناطق الريفية، فإن مناطق التعتيم تتسع عاما بعد عام بمعدل متسارع.
وبعض هذا التعتيم يأتي بشكل مفاجئ بسبب الحروب والكوارث الطبيعية، والبعض الآخر يكون تدريجيا ومتعمدا بفعل سياسات حكومية، كما هو الحال في أوروبا.
على سبيل المثال، في فرنسا، انخفضت الإضاءة بنسبة مذهلة بلغت 33% نتيجة تطبيق سياسات جديدة لتوفير الطاقة والحفاظ على السماء المظلمة. أما الولايات المتحدة، فما زالت تسجل زيادة في الإضاءة في معظم مناطقها، خاصة على الساحل الغربي.
وتتميز هذه الدراسة بأنها الأولى التي تكشف اتجاهات استخدام الضوء الاصطناعي بمستوى عال من التفصيل الزمني، ما مكن الباحثين من رؤية عمليات إغلاق جائحة كورونا في بيانات الأقمار الصناعية، وكذلك مراقبة مراحل النزاعات المسلحة في الوقت الفعلي تقريبا. ويقول تشو: “في فلسطين، يمكنك رؤية الانخفاضات في الضوء كلما تصاعدت الحرب. كما يمكنك رؤية الكوارث الطبيعية، مثل تأثيرات الأعاصير في بورتوريكو، والتي تمحو الكهرباء لفترات طويلة”.
واستخدم الفريق بيانات من أداة “الرخام الأسود” (Black Marble) التابعة لناسا، والتي تعتمد على خوارزميات خاصة لتنقية الصور من الضوضاء مثل انعكاسات ضوء القمر والشفق القطبي وتظليل السحب. لكن الباحثين يحذرون من أن الأرقام قد لا تعكس الصورة كاملة، لأن أجهزة الاستشعار المستخدمة ليست حساسة للضوء الأزرق الذي تبعثه معظم مصابيح LED الحديثة. وهذا يعني مفارقة مهمة: عندما تستبدل مدينة ما إنارة الشوارع القديمة بمصابيح LED بيضاء، فإن الإنسان يرى المكان أكثر سطوعا، بينما يقرأ القمر الصناعي ذلك كتعتيم.
وفي هذا السياق، أوضح كريستوفر كايبا، أستاذ الاستشعار عن بعد من جامعة رور في ألمانيا وأحد المشاركين في الدراسة، أن الرؤية البشرية الليلية حساسة جدا للضوء الأزرق، بينما أجهزة الأقمار الصناعية لا تراه، ما يخلق فجوة بين ما يراه الإنسان وما تسجله التكنولوجيا.
وكان كايبا قد قاد دراسة سابقة عام 2023، استندت إلى أكثر من 50 ألف ملاحظة بشرية، وكشفت أن سطوع السماء ليلا كما يراه البشر يتزايد بمعدل مذهل يصل إلى 10% سنويا، ما يؤدي عمليا إلى محو النجوم من سماء الليل.
لكن تشو يرفض اعتبار السطوع مجرد إشارة سلبية. فهو يشير إلى أن الأضواء في المناطق غير المتطورة في أفريقيا وآسيا تعني ازدهارا اقتصاديا ووصول الكهرباء إلى أماكن كانت تعيش في ظلام دامس.
ويختتم قائلا: “من المنظور الاقتصادي، السطوع يمكن أن يكون شيئا جيدا. فهو يعني المزيد من النشاط، ووصول الناس إلى الطاقة حيث لم تكن متاحة لهم من قبل”.
عن / شبكة ار تي العربيه RT
علوم وتكنولوجيا
ارتفاع مفاجئ في “نبض الأرض” يثير الجدل حول تأثيره على الإنسان
المواطن اليوم /
تثير ظاهرة الاهتزازات الأرضية المعروفة باسم “رنين شومان” جدلا متجددا، بعد تسجيل ارتفاع في قراءاتها خلال الأيام الماضية.
ودفع ذلك بعض الأشخاص إلى ربطها باضطرابات في النوم وإحساس بطنين في الأذنين، رغم تأكيد العلماء أن هذه التفسيرات لا تستند إلى أدلة علمية حاسمة.
ويُعرف “رنين شومان” بأنه إيقاع كهرومغناطيسي طبيعي يحدث بين سطح الأرض والغلاف الأيوني، نتيجة ارتداد موجات البرق حول الكوكب. ويُنظر إليه أحيانا على أنه “نبض” الأرض، ويبلغ تردده الأساسي نحو 7.83 هرتز، مع وجود ترددات أعلى ضمن نطاقه الطبيعي.
وأفاد تطبيق MeteoAgent، المتخصص في متابعة الطقس الفضائي، بارتفاع ملحوظ في قراءات “رنين شومان” منذ بداية الأسبوع، واصفا النشاط بأنه “مرتفع”، مع احتمال أن يسبب اضطرابات، في حين شدد خبراء على أن هذه القراءات قابلة للتغير بشكل طبيعي ولا تعني بالضرورة وجود ظاهرة غير اعتيادية.
ويعتقد بعض الخبراء والمهتمين بالصحة أن ترددات “رنين شومان” قد تتقاطع مع موجات الدماغ المرتبطة بالاسترخاء والنوم والتركيز، لكن الأوساط العلمية تؤكد أن الأدلة حول تأثيرها المباشر على الإنسان ما تزال غير حاسمة.
وخلال الفترة نفسها، تداول مستخدمون على مواقع التواصل الاجتماعي شكاوى تتعلق بالأرق وطنين الأذن وصعوبة التركيز، وربط بعضهم هذه الأعراض بارتفاع النشاط الكهرومغناطيسي، بينما يرى الأطباء أن لهذه الأعراض أسبابا متعددة وأكثر شيوعا.
كما شهدت الأيام الأخيرة نشاطا شمسيا ملحوظا، شمل عدة توهجات شمسية بدرجات متفاوتة، صنفها العلماء ضمن الفئات B وC وM، وهي مستويات تختلف في شدتها، حيث تعد الفئة M من التوهجات المتوسطة إلى القوية.
وأفاد موقع Schumann Resonance Today بأن الأرض تأثرت بعدة توهجات بين 3 و5 أبريل، إضافة إلى توهج متوسط يوم 8 أبريل، وتوهج من الفئة M في 9 أبريل، مشيرا إلى ارتفاع النشاط الكهرومغناطيسي خلال تلك الفترة.
ورغم هذه القراءات، أعلن MeteoAgent لاحقا عودة “رنين شومان” إلى مستوياته الطبيعية، مع استمرار احتمال تأثير التوهج الشمسي الأخير على النشاط المغناطيسي للأرض.
ويتابع العلماء هذا النوع من التغيرات عبر مؤشر يسمى “مؤشر K”، الذي يقيس اضطرابات المجال المغناطيسي للأرض على مقياس من صفر إلى تسعة. وتشير القيم فوق خمسة إلى عواصف مغناطيسية قد تؤثر في الأقمار الصناعية وشبكات الكهرباء والاتصالات.
وسجل المؤشر ارتفاعا إلى 3.3 في 9 أبريل، وهو مستوى أعلى من الطبيعي لكنه أقل من العواصف القوية التي سُجلت في مارس الماضي، حين تجاوز المؤشر 5.0 لعدة أيام متتالية.
وتشير توقعات الطقس الفضائي إلى احتمال عودة النشاط إلى مستويات أعلى خلال الأيام المقبلة، مع استمرار مراقبة تأثير التغيرات الشمسية على الأرض.
ويفسر العلماء هذه الظواهر ضمن سياق تفاعل الأرض مع الطقس الفضائي، حيث تؤدي التوهجات الشمسية والرياح الشمسية إلى إرسال جسيمات مشحونة تؤثر في الغلاف المغناطيسي للأرض وتسبب اضطرابا مؤقتا في بعض الإشارات الكهرومغناطيسية.
ورغم المخاوف المتداولة على مواقع التواصل، يؤكد العلماء أن “رنين شومان” ظاهرة طبيعية مستمرة ناتجة أساسا عن النشاط البرقي العالمي، وأن تقلباته تظل ضمن نطاقات يمكن تفسيرها علميا.
عن / شبكة ار تي العربيه RT
-
أخبار11 شهر agoحج / رفع كسوة الكعبة.. تقليد سنوي يسبق الاستعداد لموسم الحج
-
الآراء والصور12 شهر ago -
أخبار11 شهر agoحج / انطلاق أعمال ندوة الحج الكبرى في جدة تحت عنوان “الاستطاعة في الحج والمستجدات المعاصرة”
-
أخبار المجتمع12 شهر agoصحي / نجاح عملية فصل التوأم الملتصق الإريتري “أسماء وسمية” بعد عملية جراحية دقيقة استغرقت 15 ساعة ونصفًا
-
آراء11 شهر agoحج / مشعر منى.. شاهد على سُنن الأنبياء وذاكرة الحج عبر العصور
-
أخبار11 شهر agoمن مكة المكرمة.. وزير الإعلام يُدشّن منصة الصور السعودية للعالم
-
اقتصاد9 أشهر agoسياحة وترفيه / “جزيرة بياضة”.. وجهة ساحلية هادئة على خارطة السياحة الساحلية
-
كاريكاتير12 شهر agoكاريكاتير اليوم – الاستاذ / أحمد المغلوث
